Magnetic Resonance Imaging (MRI) has become a critical tool in modern medicine, providing high-resolution images of the body’s internal structures. While MRI is typically known for its ability to diagnose conditions affecting soft tissues, bones, and organs, it also plays a vital role in visualizing blood vessels.
But does MRI show blood vessels clearly? The answer is yes — and more precisely than many might realize. Blood vessels are integral to many physiological processes, and imaging them effectively is crucial for diagnosing various medical conditions. What is an MRI scan used to diagnose? MRI scans are used to diagnose a wide range of conditions, including vascular diseases, strokes, aneurysms, and blood clots, providing critical insights into the health of the circulatory system.
Importance of Imaging Blood Vessels in Diagnosing Various Conditions
Blood vessels are a vital part of the circulatory system, transporting oxygen and nutrients to the body’s tissues. When something goes wrong with the blood vessels, it can lead to serious health complications such as strokes, aneurysms, and other vascular diseases. The ability to accurately visualize blood vessels using medical diagnostic imaging is key to diagnosing and managing these conditions.
An MRI scan is often used in conjunction with other diagnostic tools to assess vascular health, helping healthcare providers determine the nature of any vascular abnormalities. With the precision and clarity provided by MRI, medical professionals can obtain crucial information to guide treatment decisions and improve patient outcomes.
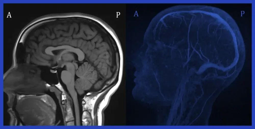
Can an MRI show blood vessels?
Yes, MRI can show blood vessels and provide detailed images of the vascular system. However, a standard MRI does not directly visualize blood vessels in the same way it shows organs and soft tissues.
For blood vessel imaging, specialized MRI techniques, such as MR Angiography (MRA), are used. These techniques are designed to produce high-quality images of the blood vessels, showing their structure and identifying any blockages, narrowing, or abnormalities.

What conditions can be diagnosed with an MRI of blood vessels?
MRI scans, when tailored for blood vessel imaging, can diagnose a wide range of conditions.
Aneurysms
An aneurysm occurs when a blood vessel weakens and bulges, potentially leading to life-threatening rupture. MRI is highly effective in detecting aneurysms in areas such as the brain (cerebral aneurysms) or the aorta (aortic aneurysms), helping doctors assess the size and location of the aneurysm.
Stenosis
Stenosis refers to the narrowing of blood vessels, often due to plaque buildup or other blockages. MRI can identify areas where stenosis may be limiting blood flow, helping doctors determine the extent of the narrowing and whether treatment is necessary
Blood Clots
Blood clots can form in the veins or arteries and cause serious health risks such as deep vein thrombosis (DVT) or pulmonary embolism. MRI can help detect clots, particularly in areas such as the brain, lungs, and legs, and assess their impact on blood flow.
Vascular Malformations
Vascular malformations are abnormal connections between blood vessels that can lead to bleeding, swelling, or other complications. MRI can identify these malformations, helping doctors plan appropriate treatment options.
Stroke Diagnosis
MRI plays a pivotal role in diagnosing strokes and transient ischemic attacks (TIAs), commonly known as mini-strokes. MRI can detect areas of the brain affected by interrupted blood flow, enabling early intervention to prevent further damage.

Types of MRI Techniques to Visualize Blood Vessels
When it comes to visualizing blood vessels, there are several MRI techniques available, each offering specific advantages depending on the condition being diagnosed.
MR Angiography (MRA)
MR Angiography (MRA) is a specialized MRI technique designed to visualize blood vessels, particularly arteries. MRA uses magnetic fields and radio waves to create detailed images of the vascular system.
Time-of-Flight (TOF) MRI
Time-of-flight MRI is another technique for capturing detailed images of blood vessels. It measures the time it takes for the blood to travel through the vessels, creating high-resolution images of arteries and veins. This technique is especially useful in diagnosing cerebrovascular conditions, such as stroke.
Phase-Contrast MRA
Phase-contrast MRA measures blood flow through vessels and provides images that show both the structure of blood vessels and the direction and speed of blood flow. This technique is valuable for assessing conditions involving abnormal blood flow, such as stenosis or arteriovenous malformations.
What is an MRA used to diagnose?
MRA is commonly used to assess blood flow in the brain, heart, and kidneys.
Can MRI and MRA be done together?
Yes, combining both techniques allows for a comprehensive view of soft tissue structures and blood vessels, aiding in the diagnosis of complex conditions.
When Is an MRI of blood vessels recommended?
MRI of blood vessels may be recommended when a vascular condition is suspected. The decision to use MRI will depend on the patient’s symptoms and medical history.
Symptoms of stroke or transient ischemic attack (TIA)
If a patient exhibits signs of a stroke or a transient ischemic attack (TIA), an MRI of the blood vessels in the brain may be ordered. This can help identify the cause of the stroke or mini-stroke and guide treatment to prevent further damage.
Suspected aneurysm or blood vessel abnormality
Patients with a family history of aneurysms or those showing symptoms such as sudden, severe headaches may undergo an MRI to check for aneurysms or other abnormalities in the blood vessels.
Chronic headaches or migraines
In cases of chronic headaches or migraines, MRI can help rule out vascular causes, such as abnormal blood vessel structures or blockages that might be contributing to the symptoms.
Vascular diseases (e.g., atherosclerosis)
For patients diagnosed with vascular diseases, such as atherosclerosis, an MRI can provide insight into the condition of the blood vessels and help monitor the progression of the disease.
Advantages of Using MRI to Visualize Blood Vessels
There are numerous advantages to using MRI for blood vessel imaging, making it a preferred method for diagnosing a variety of vascular conditions.
No Ionizing Radiation
Unlike X-rays and CT scans, MRI does not use ionizing radiation, making it a safer option for long-term monitoring of vascular health.
High-Resolution Images of Blood Vessels
MRI provides clear, high-resolution images of the blood vessels, allowing doctors to detect even subtle abnormalities.
Non-Invasive and Painless
MRI is a non-invasive, painless procedure that does not require incisions or injections, making it suitable for a wide range of patients.
Can Be Performed Without Contrast Agents
In some cases, MRI can be done without contrast agents, making it ideal for patients who may be allergic to contrast dyes or those who require multiple imaging sessions.
Comprehensive Imaging of Both Blood Vessels and Surrounding Tissues
MRI can visualize both blood vessels and the surrounding tissues, providing a comprehensive view of the area of concern.
Safe For Diagnosing Brain and Heart Conditions
MRI is safe for diagnosing conditions affecting the brain and heart, providing valuable insights into vascular health.
Ability To Measure Blood Flow
MRI techniques like Phase-Contrast MRA can measure blood flow, which is critical for diagnosing conditions like stenosis and aneurysms.
Suitable For a Wide Range of Patients
MRI is suitable for most patients, including those with implanted devices such as pacemakers (with proper precautions), making it a versatile diagnostic tool.

Why MRI is a Key Tool in Vascular Health Diagnosis
MRI is an essential tool for diagnosing various vascular conditions. It offers non-invasive, high-resolution imaging that can detect a wide range of vascular abnormalities, from aneurysms to blood clots. With the right MRI technique, healthcare providers can obtain detailed images of blood vessels, helping them make informed decisions about treatment.
If you’re in need of high-quality MRI services, One Step Diagnostic provides state-of-the-art imaging solutions. Their team is dedicated to ensuring accurate diagnoses through advanced MRI technology and compassionate care. Contact us now to book your appointment and take the first step toward understanding and improving your vascular health!



